ABOUT

セミナーの目的

Crown Lengthening(臨床的歯冠長延長術)は、
補綴・歯周・インプラント治療の成否を左右する基盤術式です。

本セミナーでは、「術式の手順」ではなく
「なぜそう設計するのか」という臨床判断のプロセスに焦点を当て、
2回シリーズで体系的にお伝えします。

術中の臨床判断 — 切開線の設計
  • 切開線の設計

    治癒のスタートラインを決める最初の意思決定。
    Internal bevel・Sulcular・Submarginal、何を選ぶか。

  • 骨整形の量と範囲

    Ostectomy か Osteoplasty か。
    Biologic Width 確保のための定量的判断基準。

  • 歯肉切除量の判断

    機能と審美を両立させる切除量の決定。
    治癒後の歯肉位置を予測する眼を養う。

FOR WHOM

こんな方におすすめ

  • Crown Lengtheningの判断基準を体系化したい歯科医師

  • 卒後3〜10年目で、歯周外科の意思決定に再現性を持たせたい先生

  • 補綴・インプラント前処置として歯冠長延長を確実に設計したい先生

  • 「術式は知っている。でもなぜそうするかを言語化したい」と感じている先生

TAKEAWAY

受講後に得られるもの

  • 明日からの臨床判断が変わる「3つの軸」

    切開線・骨整形・切除量。
    それぞれの判断アルゴリズムを持ち帰る。

  • 角化歯肉幅の有無で変わる設計の引き出し

    「あるケース」と「ないケース」、
    2回シリーズで両側面を網羅する。

  • 前歯部審美領域における判断の言語化

    部分弁の設計判断と、
    治癒後の歯肉位置を予測する眼

LECTURER

講師紹介

講師 金森行泰

Yukiyasu Kanamori, D.D.S.

金森 行泰(カナモリ ユキヤス)

  • 日本歯周病学会 専門医・指導医
  • 日本口腔インプラント学会 専門医
  • 医療法人社団KDC かなもり歯科クリニック 院長
  • 品川ペリオインプラント勉強会 主宰

歯周病学とインプラント治療を専門とし、東京都品川区にて 「かなもり歯科クリニック」を運営。

日々の臨床に加え、学会発表・講演活動を通じて、 再生療法・歯周形成外科の臨床判断を体系化することに取り組んでいる。

品川ペリオインプラント勉強会を主宰し、 若手・中堅歯科医師の育成にも力を注ぐ。

PROGRAM

講義プログラム

LECTURE 01

概要 + 角化歯肉幅があるケース

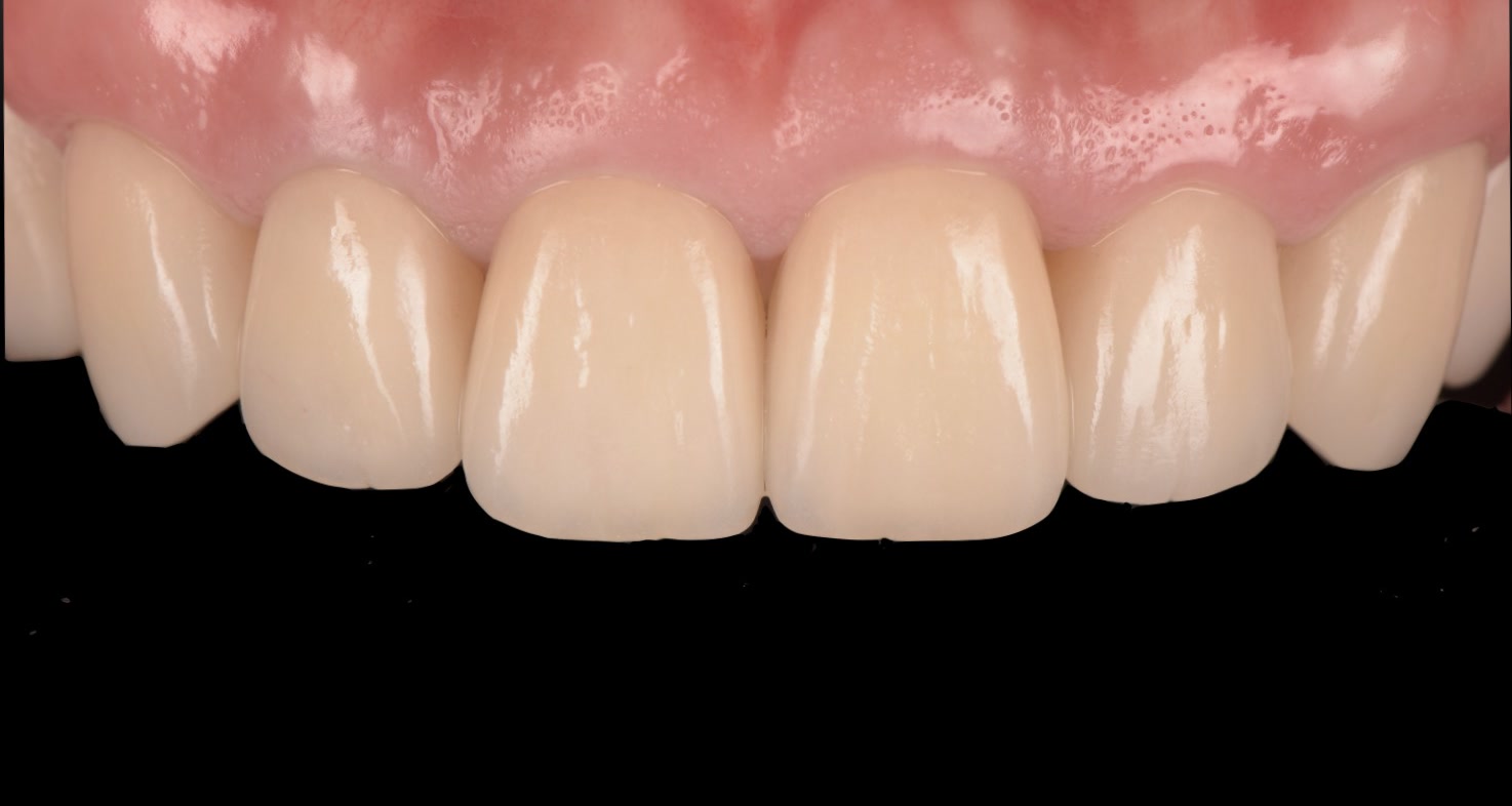
LECTURE 1 症例:前歯部クローズアップ
  • 切開線の設計原則
  • 骨整形の考え方
  • 切除量の判断基準

LECTURE 02

前歯部審美領域 + 角化歯肉幅がないケース

LECTURE 2 症例:前歯部審美のクラウン
  • 部分弁の設計判断
  • 前歯部の臨床判断
  • 症例のまとめと考察

INFORMATION

開催情報

会場
日本歯科大学附属病院 8階 牛込ホール
住所
〒102-8158 東京都千代田区富士見2-3-16
最寄駅
JR・地下鉄各線「飯田橋駅」徒歩7分
参加費 DR
各回 5,000円 (税込)
参加費 DH・学生
各回 3,000円 (税込)
主催
合同会社WFI

FAQ

よくあるご質問

1回だけの受講でも参加できますか?

はい。LECTURE 01・02は独立したテーマ構成のため、片方のみのご受講も可能です。 ただし、判断基準の体系化を意図しているため、2回通しでのご受講を推奨します。

歯科衛生士・学生でも理解できる内容ですか?

臨床判断の「設計思考」を主軸とするため、術者目線が中心となります。 ただし、Crown Lengtheningの臨床的意義をDR・DH・学生で共有することは、 日常臨床の質を底上げします。DH・学生枠(3,000円)を用意しています。

当日の参加証や領収書は発行されますか?

Stripe決済後、登録メールアドレスへ自動で領収書が送付されます。 参加証は当日会場にてお渡しします。

録画配信や後日アーカイブはありますか?

現時点では会場参加のみを予定しています。 アーカイブ配信の有無は、確定次第ご案内いたします。

REGISTRATION

お申し込み

ご希望の回・参加区分を選択し、決済までお進みください。

ボタンをクリックすると、Stripe決済ページが新しいタブで開きます。
各回・各区分ごとに個別にお手続きください。

VENUE

会場アクセス

日本歯科大学附属病院 8階 牛込ホール

〒102-8158 東京都千代田区富士見2-3-16